Hírek
2013. Február 09. 05:00, szombat |
Általános tájékoztató az érettségi vizsgára történő jelentkezésről
2013. Február 09. 05:00, szombat |
Matricás rendszer kiterjesztésével oldnák meg az e-útdíjat?
2013. Február 09. 05:00, szombat |
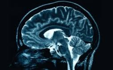
Az agy 'vakfoltja' felelős a gyilkosságokért?
2013. Február 09. 05:00, szombat |
A sült ételek növelik a stroke kockázatát
2013. Február 09. 05:00, szombat |
Nem vesznek fel jutalmat a helyi vízművek vezérigazgatói
2013. Február 09. 05:00, szombat |
EU-csúcs - Tabajdi: a kormány nem tudta érvényesíteni a magyar érdekeket
2013. Február 08. 20:01, péntek |
Orbán: Hazánk a második helyen van
2013. Február 08. 19:58, péntek |
Női vízilabda Világliga - Továbbjutást érő magyar győzelem
2013. Február 08. 15:25, péntek |
Szerződésben vállalta, hogy távol tartja magát Facebooktól
Szerződés kötött egy apa és lánya az Egyesült Államokban: a 14 éves bakfisnak 200 dollár üti a markát, ha öt hónapig távol tartja magát a Facebook közösségi portáltól.
2013. Február 08. 15:18, péntek |
Szobrot emel Balatonfüred Bujtor Istvánnak
Szobrot emel Bujtor Istvánnak Balatonfüred, a munkával Farkas Ádám Munkácsy-díjas szobrászt bízták meg.
2013. Február 08. 15:17, péntek |
Egy volt rendőrjárőr ellen is vádat emeltek egy pénzszállító autó kirablásáért
2013. Február 08. 14:58, péntek |
Tízmilliárd forint jut a felsőoktatási intézményi kiválóság támogatására

